Can MRI Foresee Kidney Damage After Nephrectomy? New Study Says Yes

Written By :  Medha Baranwal
Medically Reviewed By :  Dr. Kamal Kant Kohli
Published On 2026-01-20 15:45 GMT   |   Update On 2026-01-20 15:46 GMT
Advertisement

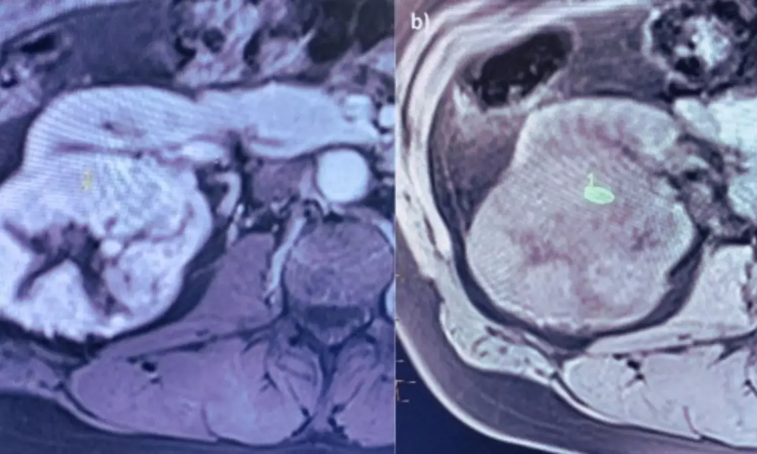
USA: Researchers have found that preoperative multiparametric MRI (mpMRI) could help predict the risk of chronic kidney disease (CKD) in patients undergoing kidney surgery for solid renal masses (SRMs). The study, published in the Journal of Magnetic Resonance Imaging, suggests that advanced imaging may offer clinicians a valuable tool to identify patients at higher risk of post-surgical kidney function decline.    

Advertisement

Patients with SRMs are known to face an elevated risk of CKD following partial or radical nephrectomy, yet until now, there has been no reliable method to estimate this risk before surgery. To address this gap, Mira M. Liu, PhD, and her team from the BioMedical Engineering and Imaging Institute at the Icahn School of Medicine, Mount Sinai, conducted a prospective study assessing whether mpMRI could predict CKD development and progression to stage III, defined as moderate kidney damage.

The study enrolled 43 patients (13 women, average age 59 ± 12 years) scheduled for nephrectomy. Each underwent a 1.5-tesla MRI scan that included diffusion-weighted imaging (DWI) with nine b-values, T1-mapping, multi-echo gradient-echo blood-oxygen-level-dependent imaging (BOLD), and dynamic-contrast-enhanced MRI (DCE-MRI). The team also calculated a clinical CKD risk score for each patient based on age, baseline kidney function, diabetes status, and type of surgery.
The researchers analyzed multiple mpMRI parameters, including cortical and medullary apparent diffusion coefficient (ADC), intravoxel incoherent motion, tri-exponential diffusion components, spectral diffusion, native T1, R2* from BOLD, and renal plasma flow from DCE-MRI. These measures were evaluated for their correlation with baseline kidney function, their ability to predict a postoperative 12-month decline in estimated glomerular filtration rate (eGFR) of more than 5 mL/min/1.73 m², and progression to stage III CKD (eGFR < 60 mL/min/1.73 m²).
The study led to the following findings:
  • Among 29 patients who completed 12-month follow-up, 19 had normal kidney function at baseline.
  • Of these 19 patients, 7 (37%) developed stage III CKD.
  • eGFR measured by DCE-MRI and tubule diffusion correlated with baseline kidney function (correlation coefficients 0.43 and 0.33, respectively).
  • Reduced vascular diffusion on mpMRI predicted postoperative eGFR decline (AUC = 0.75).
  • Larger contralateral corticomedullary ADC difference was a strong predictor of CKD development (AUC = 0.89).
  • A higher clinical CKD risk score also strongly predicted CKD development (AUC = 0.81).
  • These findings may indicate reduced renal functional reserve and highlight the potential of mpMRI for preoperative risk assessment and surgical planning.
The study concludes that preoperative mpMRI offers a promising, non-invasive approach to identify patients at risk of CKD after nephrectomy, potentially allowing tailored perioperative management to preserve kidney function. While this pilot study is limited by its small sample size, it sets the stage for larger trials to validate mpMRI as a standard preoperative tool in nephrectomy patients.
Reference:
Liu, M. M., Bane, O., Mu, X., Al-Mubarak, H., Reddy, A. M., Bolger, I., Abboud, G., Kennedy, P., Robson, P., Meilika, K., Horowitz, A., Kuhn, B., Farouk, S., Badani, K., Taouli, B., & Lewis, S. Multiparametric MRI for Predicting Renal Function Deterioration and Chronic Kidney Disease Development in Patients Undergoing Nephrectomy for Renal Masses: A Pilot Study. Journal of Magnetic Resonance Imaging. https://doi.org/10.1002/jmri.70213


Tags:    
Article Source : Journal of Magnetic Resonance Imaging

Disclaimer: This website is primarily for healthcare professionals. The content here does not replace medical advice and should not be used as medical, diagnostic, endorsement, treatment, or prescription advice. Medical science evolves rapidly, and we strive to keep our information current. If you find any discrepancies, please contact us at corrections@medicaldialogues.in. Read our Correction Policy here. Nothing here should be used as a substitute for medical advice, diagnosis, or treatment. We do not endorse any healthcare advice that contradicts a physician's guidance. Use of this site is subject to our Terms of Use, Privacy Policy, and Advertisement Policy. For more details, read our Full Disclaimer here.

NOTE: Join us in combating medical misinformation. If you encounter a questionable health, medical, or medical education claim, email us at factcheck@medicaldialogues.in for evaluation.

Our comments section is governed by our Comments Policy . By posting comments at Medical Dialogues you automatically agree with our Comments Policy , Terms And Conditions and Privacy Policy .

Similar News