- Home
- Medical news & Guidelines
- Anesthesiology
- Cardiology and CTVS
- Critical Care
- Dentistry
- Dermatology
- Diabetes and Endocrinology
- ENT
- Gastroenterology
- Medicine
- Nephrology
- Neurology
- Obstretics-Gynaecology
- Oncology
- Ophthalmology
- Orthopaedics
- Pediatrics-Neonatology
- Psychiatry
- Pulmonology
- Radiology
- Surgery
- Urology
- Laboratory Medicine
- Diet
- Nursing
- Paramedical
- Physiotherapy
- Health news
- Fact Check
- Bone Health Fact Check
- Brain Health Fact Check
- Cancer Related Fact Check
- Child Care Fact Check
- Dental and oral health fact check
- Diabetes and metabolic health fact check
- Diet and Nutrition Fact Check
- Eye and ENT Care Fact Check
- Fitness fact check
- Gut health fact check
- Heart health fact check
- Kidney health fact check
- Medical education fact check
- Men's health fact check
- Respiratory fact check
- Skin and hair care fact check
- Vaccine and Immunization fact check
- Women's health fact check
- AYUSH
- State News
- Andaman and Nicobar Islands
- Andhra Pradesh
- Arunachal Pradesh
- Assam
- Bihar
- Chandigarh
- Chattisgarh
- Dadra and Nagar Haveli
- Daman and Diu
- Delhi
- Goa
- Gujarat
- Haryana
- Himachal Pradesh
- Jammu & Kashmir
- Jharkhand
- Karnataka
- Kerala
- Ladakh
- Lakshadweep
- Madhya Pradesh
- Maharashtra
- Manipur
- Meghalaya
- Mizoram
- Nagaland
- Odisha
- Puducherry
- Punjab
- Rajasthan
- Sikkim
- Tamil Nadu
- Telangana
- Tripura
- Uttar Pradesh
- Uttrakhand
- West Bengal
- Medical Education
- Industry
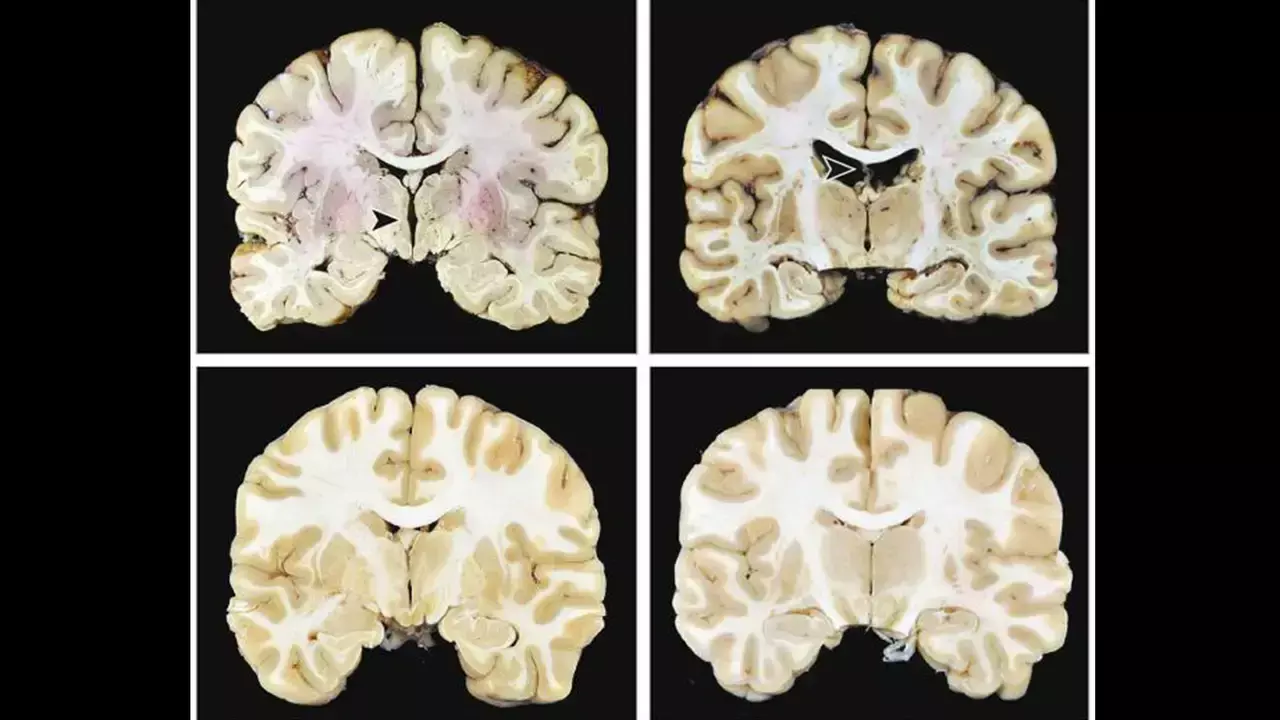
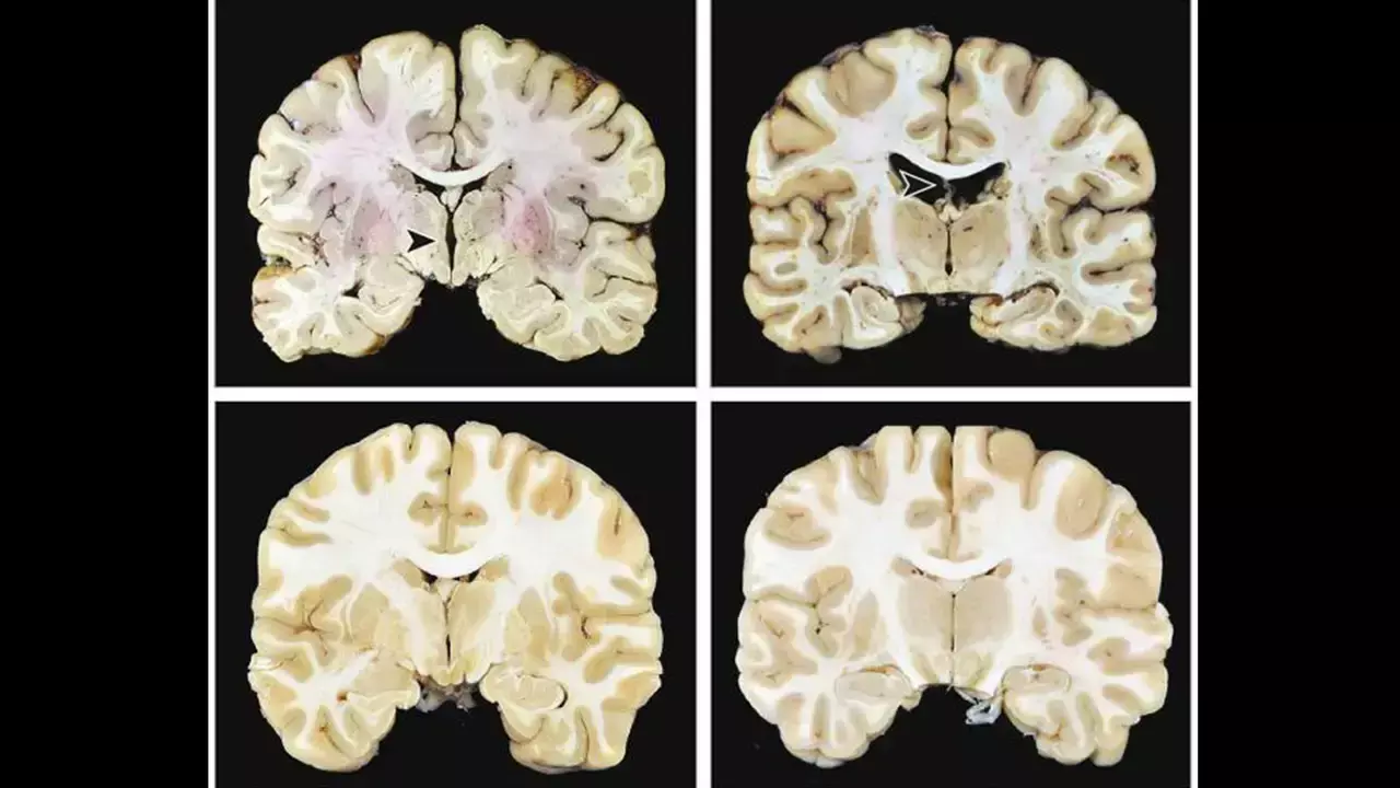
Advanced CTE Pathology Associated With Increased Dementia Risk: Study

Researchers have found in a large autopsy study of brain donors that without other progressive neurodegenerative diseases, stage III and IV chronic traumatic encephalopathy were associated with significantly higher odds of dementia. In contrast, early-stage (I–II) chronic traumatic encephalopathy showed no association with cognitive symptoms or dementia, indicating that dementia risk rises with advanced chronic traumatic encephalopathy pathology.
This studyexamined the independent contribution of chronic traumatic encephalopathy (CTE) neuropathology to symptoms. The sample included 614 brain donors with (n = 366) and without (n = 248) autopsy-confirmed chronic traumatic encephalopathy. Brain donors with other major neurodegenerative disease diagnoses were excluded. Informants completed cognitive and neuropsychiatric measures. Dementia was determined during diagnostic consensus conferences.
chronic traumatic encephalopathy stage IV (of IV) was associated with 4.48 (95% confidence interval [CI] = 1.97–10.90) increased odds of having dementia. chronic traumatic encephalopathy stage III had an odds ratio of 2.12 (95% CI = 1.91–3.77). A higher chronic traumatic encephalopathy stage was associated with greater informant-reported cognitive symptoms (p < 0.01).
There were no associations with mood/behavioural scales. Chronic traumatic encephalopathy stage III/IV neuropathology was associated with dementia and cognitive symptoms: those with stage IV were 4.5 times more likely to have dementia than those without chronic traumatic encephalopathy. It is uncertain if low-stage chronic traumatic encephalopathy clinically manifests, and mood/behavioural symptoms likely have multifactorial causes and/or a fluctuating course.
Stage III and IV chronic traumatic encephalopathy (CTE) are independently associated with increased odds of having dementia.
Thus, to conclude a higher chronic traumatic encephalopathy stage was associated with greater informant-reported cognitive symptoms.
Stage I and II chronic traumatic encephalopathy were not associated with cognitive symptoms or dementia. Chronic traumatic encephalopathy of any severity was not associated with informant-reported mood or behavioural symptoms.
Reference:
Layden RM, Groh JR, Miner AE, et al. CTE neuropathology alone is associated with dementia and cognitive symptoms. Alzheimer's Dement. 2026; 22:e71032. https://doi.org/10.1002/alz.71032
Dr. Shravani Dali has completed her BDS from Pravara institute of medical sciences, loni. Following which she extensively worked in the healthcare sector for 2+ years. She has been actively involved in writing blogs in field of health and wellness. Currently she is pursuing her Masters of public health-health administration from Tata institute of social sciences. She can be contacted at editorial@medicaldialogues.in.
Dr Kamal Kant Kohli-MBBS, DTCD- a chest specialist with more than 30 years of practice and a flair for writing clinical articles, Dr Kamal Kant Kohli joined Medical Dialogues as a Chief Editor of Medical News. Besides writing articles, as an editor, he proofreads and verifies all the medical content published on Medical Dialogues including those coming from journals, studies,medical conferences,guidelines etc. Email: drkohli@medicaldialogues.in. Contact no. 011-43720751

