- Home
- Medical news & Guidelines
- Anesthesiology
- Cardiology and CTVS
- Critical Care
- Dentistry
- Dermatology
- Diabetes and Endocrinology
- ENT
- Gastroenterology
- Medicine
- Nephrology
- Neurology
- Obstretics-Gynaecology
- Oncology
- Ophthalmology
- Orthopaedics
- Pediatrics-Neonatology
- Psychiatry
- Pulmonology
- Radiology
- Surgery
- Urology
- Laboratory Medicine
- Diet
- Nursing
- Paramedical
- Physiotherapy
- Health news
- Fact Check
- Bone Health Fact Check
- Brain Health Fact Check
- Cancer Related Fact Check
- Child Care Fact Check
- Dental and oral health fact check
- Diabetes and metabolic health fact check
- Diet and Nutrition Fact Check
- Eye and ENT Care Fact Check
- Fitness fact check
- Gut health fact check
- Heart health fact check
- Kidney health fact check
- Medical education fact check
- Men's health fact check
- Respiratory fact check
- Skin and hair care fact check
- Vaccine and Immunization fact check
- Women's health fact check
- AYUSH
- State News
- Andaman and Nicobar Islands
- Andhra Pradesh
- Arunachal Pradesh
- Assam
- Bihar
- Chandigarh
- Chattisgarh
- Dadra and Nagar Haveli
- Daman and Diu
- Delhi
- Goa
- Gujarat
- Haryana
- Himachal Pradesh
- Jammu & Kashmir
- Jharkhand
- Karnataka
- Kerala
- Ladakh
- Lakshadweep
- Madhya Pradesh
- Maharashtra
- Manipur
- Meghalaya
- Mizoram
- Nagaland
- Odisha
- Puducherry
- Punjab
- Rajasthan
- Sikkim
- Tamil Nadu
- Telangana
- Tripura
- Uttar Pradesh
- Uttrakhand
- West Bengal
- Medical Education
- Industry
Pegcetacoplan Lowers Proteinuria in Complement-Mediated Glomerular Diseases: NEJM

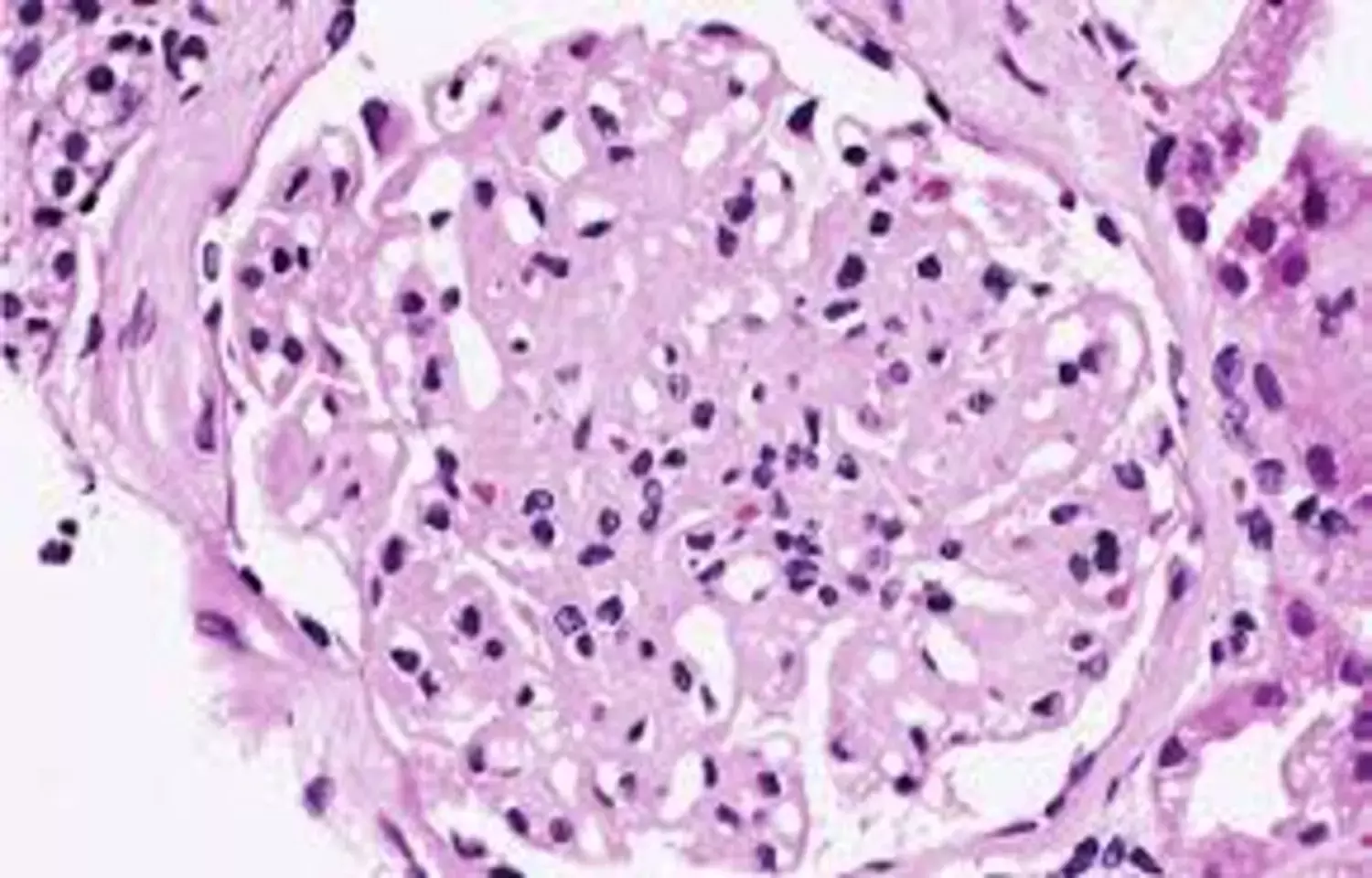
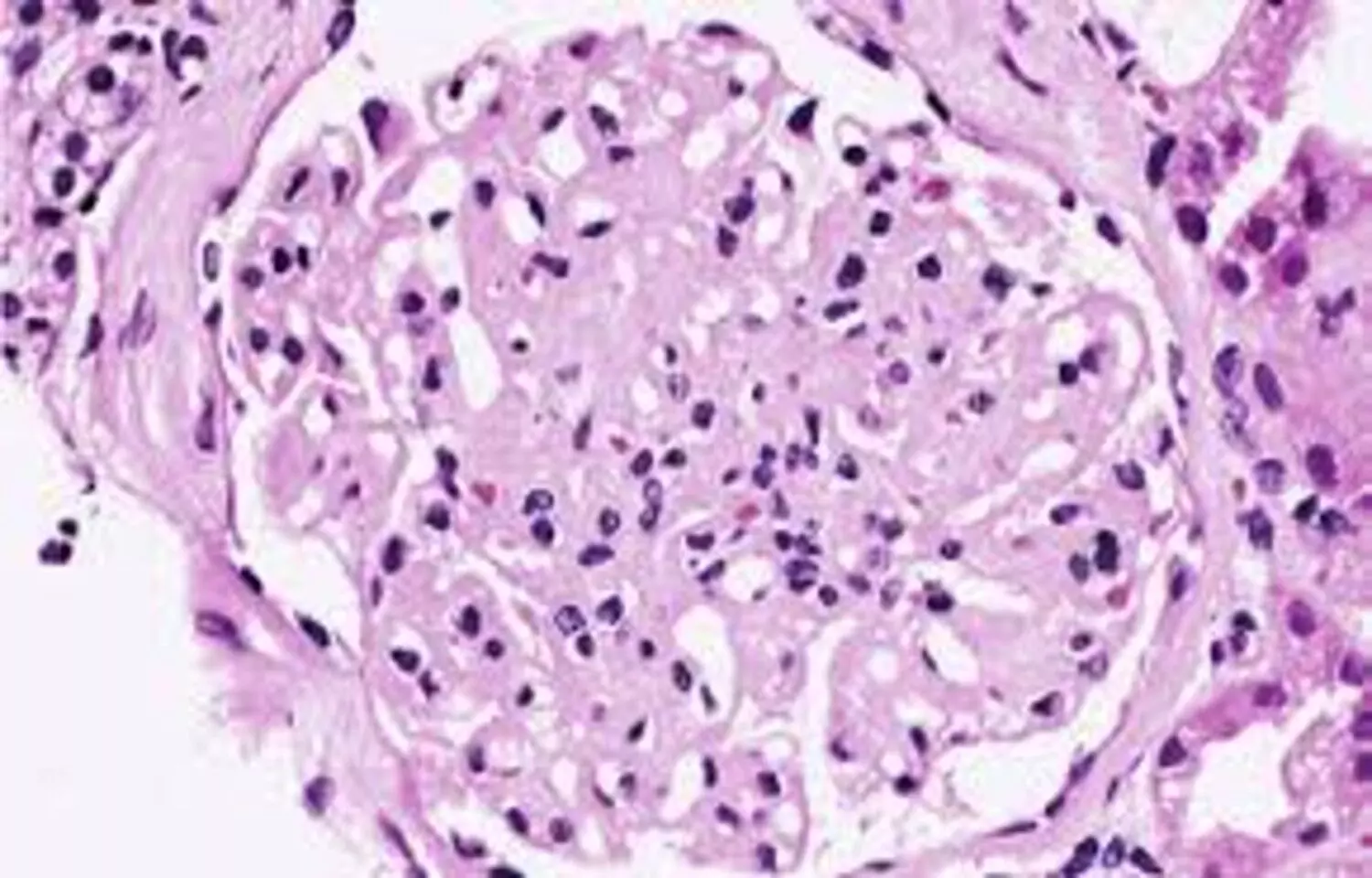
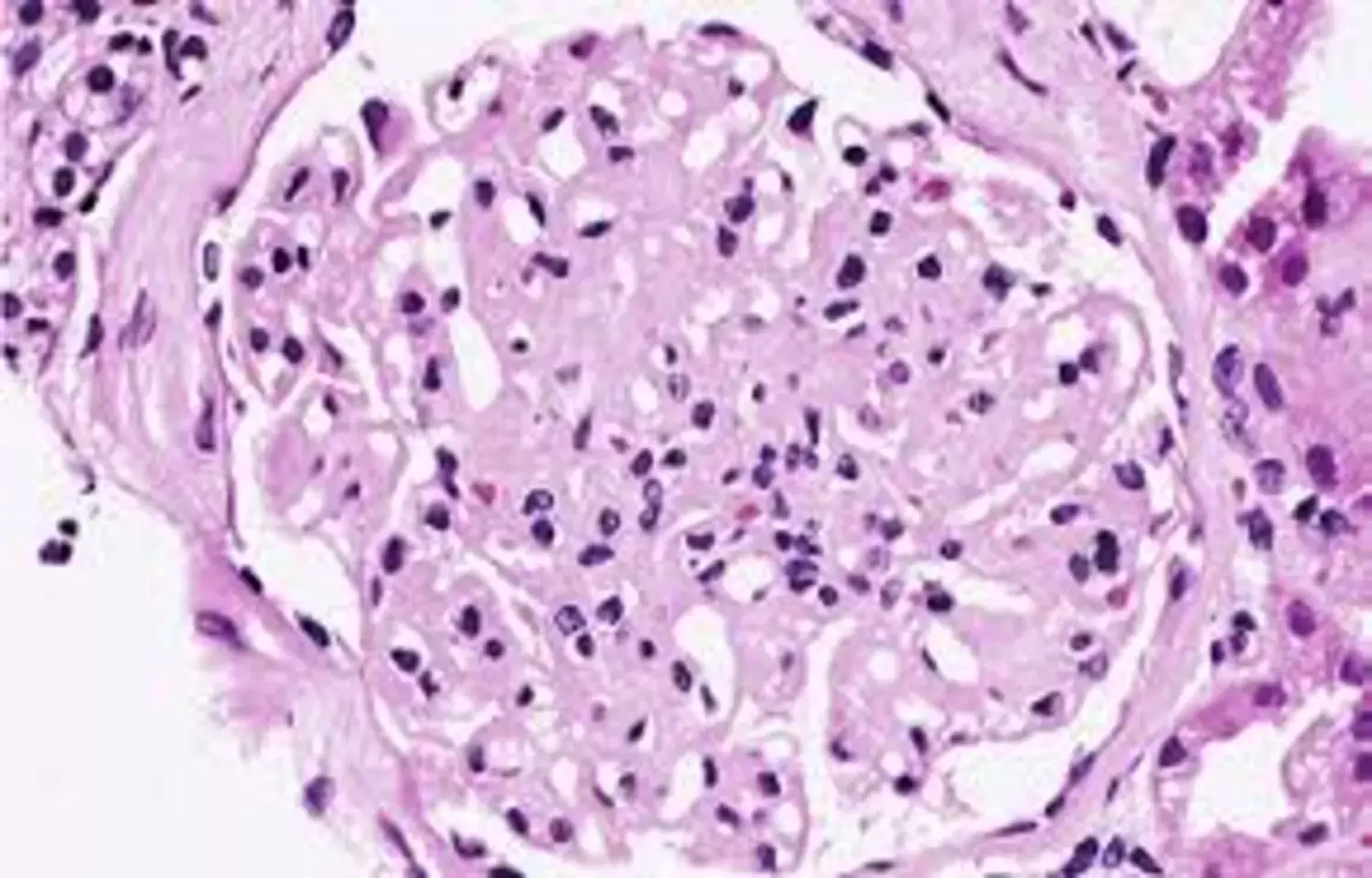
In a phase three, double blind, placebo controlled trial, pegcetacoplan significantly reduced proteinuria compared with placebo in patients with recurrent C3 glomerulopathy or primary immune complex membranoproliferative glomerulonephritis, highlighting its therapeutic potential in rare complement mediated kidney diseases.
C3 glomerulopathy and primary immune complex membranoproliferative glomerulonephritis generally result in glomerular C3 deposition and progressive, irreversible kidney damage. The efficacy and safety of pegcetacoplan, a complement C3 and C3b inhibitor, have remained uncertain in these conditions. Investigators conducted a phase three, double blind, placebo controlled trial involving adolescents and adults with C3 glomerulopathy or primary immune complex membranoproliferative glomerulonephritis, including patients with native kidney disease as well as those with disease recurrence after kidney transplantation. Participants were randomly assigned to receive pegcetacoplan or placebo. The primary outcome assessed changes in urinary protein excretion over time.
Results showed that patients treated with pegcetacoplan experienced a substantially greater reduction in proteinuria compared with those receiving placebo. A higher proportion of patients in the pegcetacoplan group met composite renal outcome criteria, including stabilization of estimated glomerular filtration rate and meaningful reductions in urinary protein levels. Improvements in proteinuria were also more frequent in the pegcetacoplan group. Among patients with evaluable kidney biopsy samples, changes in histologic activity scores did not differ meaningfully between treatment groups. Pegcetacoplan was generally well tolerated and was not associated with a higher rate of adverse events compared with placebo. No serious infections due to encapsulated bacteria were observed, and no cases of kidney transplant rejection or graft loss occurred.
Pegcetacoplan resulted in a significantly greater reduction in proteinuria than placebo in patients with C3 glomerulopathy or primary immune complex membranoproliferative glomerulonephritis, supporting its role as a targeted therapy for complement mediated kidney disease.
Reference:
Ladan Zand,Fernando C. Fervenza,Pegcetacoplan for Treatment of C3 Glomerulopathy and Immune-Complex MPGN, New England Journal of Medicine, 393, 22, (2266-2267), (2025). /doi/full/10.1056/NEJMe2515157
Dr. Shravani Dali has completed her BDS from Pravara institute of medical sciences, loni. Following which she extensively worked in the healthcare sector for 2+ years. She has been actively involved in writing blogs in field of health and wellness. Currently she is pursuing her Masters of public health-health administration from Tata institute of social sciences. She can be contacted at editorial@medicaldialogues.in.
Dr Kamal Kant Kohli-MBBS, DTCD- a chest specialist with more than 30 years of practice and a flair for writing clinical articles, Dr Kamal Kant Kohli joined Medical Dialogues as a Chief Editor of Medical News. Besides writing articles, as an editor, he proofreads and verifies all the medical content published on Medical Dialogues including those coming from journals, studies,medical conferences,guidelines etc. Email: drkohli@medicaldialogues.in. Contact no. 011-43720751

