- Home
- Medical news & Guidelines
- Anesthesiology
- Cardiology and CTVS
- Critical Care
- Dentistry
- Dermatology
- Diabetes and Endocrinology
- ENT
- Gastroenterology
- Medicine
- Nephrology
- Neurology
- Obstretics-Gynaecology
- Oncology
- Ophthalmology
- Orthopaedics
- Pediatrics-Neonatology
- Psychiatry
- Pulmonology
- Radiology
- Surgery
- Urology
- Laboratory Medicine
- Diet
- Nursing
- Paramedical
- Physiotherapy
- Health news
- Fact Check
- Bone Health Fact Check
- Brain Health Fact Check
- Cancer Related Fact Check
- Child Care Fact Check
- Dental and oral health fact check
- Diabetes and metabolic health fact check
- Diet and Nutrition Fact Check
- Eye and ENT Care Fact Check
- Fitness fact check
- Gut health fact check
- Heart health fact check
- Kidney health fact check
- Medical education fact check
- Men's health fact check
- Respiratory fact check
- Skin and hair care fact check
- Vaccine and Immunization fact check
- Women's health fact check
- AYUSH
- State News
- Andaman and Nicobar Islands
- Andhra Pradesh
- Arunachal Pradesh
- Assam
- Bihar
- Chandigarh
- Chattisgarh
- Dadra and Nagar Haveli
- Daman and Diu
- Delhi
- Goa
- Gujarat
- Haryana
- Himachal Pradesh
- Jammu & Kashmir
- Jharkhand
- Karnataka
- Kerala
- Ladakh
- Lakshadweep
- Madhya Pradesh
- Maharashtra
- Manipur
- Meghalaya
- Mizoram
- Nagaland
- Odisha
- Puducherry
- Punjab
- Rajasthan
- Sikkim
- Tamil Nadu
- Telangana
- Tripura
- Uttar Pradesh
- Uttrakhand
- West Bengal
- Medical Education
- Industry
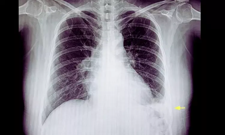
Intrapleural Enzyme Therapy Outperforms Saline Lavage in Pleural Infection: SCOPE Trial

Spain: A study published in the European Respiratory Journal reports that saline lavage alone may prolong pleural drainage in patients with pleural Infection compared with intrapleural enzyme therapy (IET). The findings also indicate that adding saline lavage to IET does not provide a meaningful clinical advantage over enzyme therapy alone.
- Saline lavage alone was associated with a longer pleural drainage duration compared with enzyme-based treatment.
- The median drainage duration was 4 days in the saline-only group versus 3 days in both the intrapleural enzyme therapy (IET) alone and saline-plus-IET groups.
- No significant difference in drainage duration was observed between the two IET-containing regimens.
- Early radiographic improvement was similar across all treatment groups.
- By day 2, all groups showed a median reduction of about 30% in pleural effusion size.
- By day 5, patients receiving enzyme therapy demonstrated greater pleural fluid resolution, with a median residual effusion of zero.
- Serious adverse events were uncommon during the study.
- One patient in the combination therapy group developed hemothorax requiring video-assisted thoracoscopic surgery.
- Three-month mortality rates and the length of hospital stay were comparable across all treatment groups.
MSc. Biotechnology
Medha Baranwal holds a Bachelor’s degree in Biomedical Sciences from the University of Delhi and a Master’s degree in Biotechnology from Amity University. Since May 2018, she has been contributing to Medical Dialogues, writing and editing medical news articles that translate complex research into clear, accessible information for healthcare professionals.
Dr Kamal Kant Kohli-MBBS, DTCD- a chest specialist with more than 30 years of practice and a flair for writing clinical articles, Dr Kamal Kant Kohli joined Medical Dialogues as a Chief Editor of Medical News. Besides writing articles, as an editor, he proofreads and verifies all the medical content published on Medical Dialogues including those coming from journals, studies,medical conferences,guidelines etc. Email: drkohli@medicaldialogues.in. Contact no. 011-43720751

