- Home
- Medical news & Guidelines
- Anesthesiology
- Cardiology and CTVS
- Critical Care
- Dentistry
- Dermatology
- Diabetes and Endocrinology
- ENT
- Gastroenterology
- Medicine
- Nephrology
- Neurology
- Obstretics-Gynaecology
- Oncology
- Ophthalmology
- Orthopaedics
- Pediatrics-Neonatology
- Psychiatry
- Pulmonology
- Radiology
- Surgery
- Urology
- Laboratory Medicine
- Diet
- Nursing
- Paramedical
- Physiotherapy
- Health news
- Fact Check
- Bone Health Fact Check
- Brain Health Fact Check
- Cancer Related Fact Check
- Child Care Fact Check
- Dental and oral health fact check
- Diabetes and metabolic health fact check
- Diet and Nutrition Fact Check
- Eye and ENT Care Fact Check
- Fitness fact check
- Gut health fact check
- Heart health fact check
- Kidney health fact check
- Medical education fact check
- Men's health fact check
- Respiratory fact check
- Skin and hair care fact check
- Vaccine and Immunization fact check
- Women's health fact check
- AYUSH
- State News
- Andaman and Nicobar Islands
- Andhra Pradesh
- Arunachal Pradesh
- Assam
- Bihar
- Chandigarh
- Chattisgarh
- Dadra and Nagar Haveli
- Daman and Diu
- Delhi
- Goa
- Gujarat
- Haryana
- Himachal Pradesh
- Jammu & Kashmir
- Jharkhand
- Karnataka
- Kerala
- Ladakh
- Lakshadweep
- Madhya Pradesh
- Maharashtra
- Manipur
- Meghalaya
- Mizoram
- Nagaland
- Odisha
- Puducherry
- Punjab
- Rajasthan
- Sikkim
- Tamil Nadu
- Telangana
- Tripura
- Uttar Pradesh
- Uttrakhand
- West Bengal
- Medical Education
- Industry
Deep Learning Boosts Image Quality in Low-Dose CT Portal Venography: Study Shows

China: A new study published in Academic Radiology suggests that deep learning-based image reconstruction significantly enhances image quality in dual-energy CT portal venography, even when both radiation dose and contrast medium volume are reduced.
The findings indicate that this advanced reconstruction approach could support safer and more reliable imaging for patients undergoing liver-related evaluations, including those being assessed for liver transplantation.
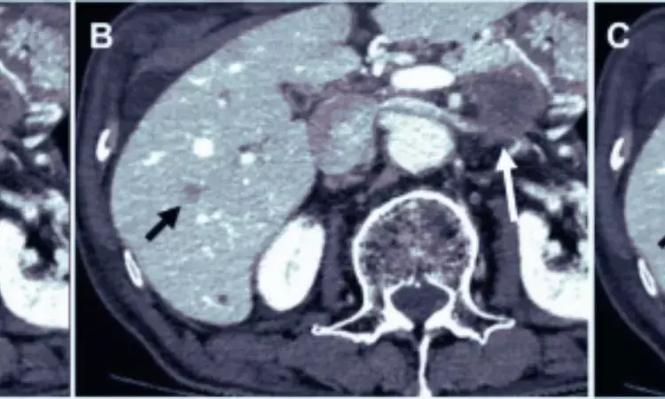
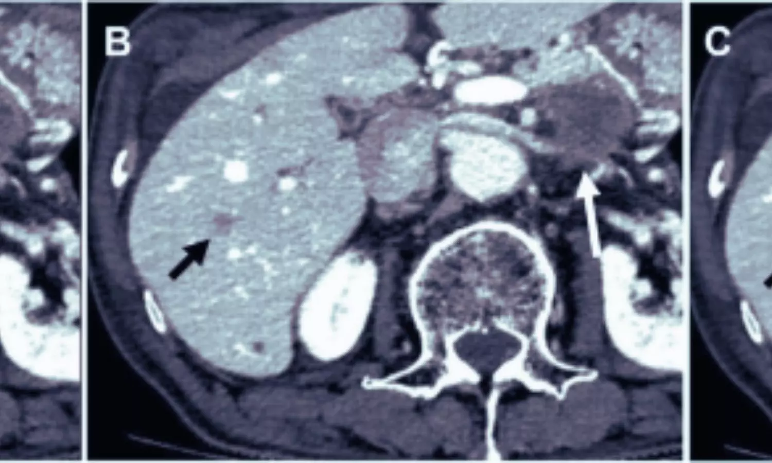
Dual-energy CT portal venography (DE-CTPV) is essential for visualizing the portal venous system and guiding preoperative planning and postoperative follow-up in hepatobiliary surgery and liver transplantation. However, efforts to reduce radiation exposure and contrast-related risks often compromise image quality. Deep learning image reconstruction (DLIR) has emerged as a potential solution, though its effectiveness in dual-low dose DE-CTPV has remained uncertain.
To address this, researchers led by Chong Meng from the Affiliated Hospital of Xuzhou Medical University, China, compared DLIR with adaptive statistical iterative reconstruction (ASIR-V) in a dual-low dose DE-CTPV setting. The study examined whether DLIR could preserve or enhance image quality across major portal venous structures despite reduced radiation and contrast use.
Images were reconstructed using DLIR at medium and high strengths and ASIR-V at 50%. Image quality was assessed across the main, left, and right portal veins, splenic vein, and superior mesenteric vein using objective measures such as image noise, contrast-to-noise ratio, and signal-to-noise ratio, alongside radiologists’ evaluations of image clarity, edge sharpness, and diagnostic confidence.
The study led to the following notable findings:
- Deep learning image reconstruction, particularly the high-strength setting, consistently outperformed ASIR-V across all evaluated vascular segments.
- DLIR-H significantly reduced image noise while achieving higher contrast-to-noise and signal-to-noise ratios.
- Improved noise reduction and signal quality enabled clearer visualization of portal venous anatomy despite lower radiation dose and reduced contrast volume.
- Radiologists gave DLIR-H the highest ratings for overall image quality, vascular edge sharpness, and diagnostic confidence.
- The dual-low dose protocol achieved a mean CT dose index volume of approximately 9.8 mGy and an effective dose below 5 mSv.
- The average contrast medium volume used was around 80 mL, reflecting substantial dose reduction.
- Image quality remained high under these reduced dose conditions when DLIR was applied.
- Use of 55 keV virtual monoenergetic imaging enhanced iodine contrast.
- DLIR effectively mitigated the increase in image noise associated with low-keV imaging, ensuring consistent and clear vascular delineation.
According to the authors, these findings highlight the potential of DLIR to optimize DE-CT portal venography protocols. By maintaining high image quality while minimizing radiation and contrast exposure, DLIR may improve the safety profile of CT imaging for patients requiring repeated or detailed vascular assessments.
The researchers conclude that "deep learning–based reconstruction offers a meaningful advantage over conventional iterative reconstruction techniques in dual-energy CT portal venography. Its ability to deliver high-quality images under dual-low dose conditions suggests it could become a valuable tool in routine clinical practice, particularly for liver transplantation planning and postoperative follow-up."
Reference:
Meng C, Liu X, Wang Z, Long J, Wang C, Yang J, Sun B, Zhang D, Liu Z, Wang X, Sun A, Xu K, Meng Y. Deep Learning Image Reconstruction Improves Image Quality in Dual-Low Dose Dual-Energy CT Portal Venography Compared to Adaptive Iterative Image Reconstruction Algorithm-Veo. Acad Radiol. 2026 Jan 2:S1076-6332(25)01133-X. doi: 10.1016/j.acra.2025.11.047. Epub ahead of print. PMID: 41484021.
Dr Kamal Kant Kohli-MBBS, DTCD- a chest specialist with more than 30 years of practice and a flair for writing clinical articles, Dr Kamal Kant Kohli joined Medical Dialogues as a Chief Editor of Medical News. Besides writing articles, as an editor, he proofreads and verifies all the medical content published on Medical Dialogues including those coming from journals, studies,medical conferences,guidelines etc. Email: drkohli@medicaldialogues.in. Contact no. 011-43720751
Next Story

