- Home
- Medical news & Guidelines
- Anesthesiology
- Cardiology and CTVS
- Critical Care
- Dentistry
- Dermatology
- Diabetes and Endocrinology
- ENT
- Gastroenterology
- Medicine
- Nephrology
- Neurology
- Obstretics-Gynaecology
- Oncology
- Ophthalmology
- Orthopaedics
- Pediatrics-Neonatology
- Psychiatry
- Pulmonology
- Radiology
- Surgery
- Urology
- Laboratory Medicine
- Diet
- Nursing
- Paramedical
- Physiotherapy
- Health news
- Fact Check
- Bone Health Fact Check
- Brain Health Fact Check
- Cancer Related Fact Check
- Child Care Fact Check
- Dental and oral health fact check
- Diabetes and metabolic health fact check
- Diet and Nutrition Fact Check
- Eye and ENT Care Fact Check
- Fitness fact check
- Gut health fact check
- Heart health fact check
- Kidney health fact check
- Medical education fact check
- Men's health fact check
- Respiratory fact check
- Skin and hair care fact check
- Vaccine and Immunization fact check
- Women's health fact check
- AYUSH
- State News
- Andaman and Nicobar Islands
- Andhra Pradesh
- Arunachal Pradesh
- Assam
- Bihar
- Chandigarh
- Chattisgarh
- Dadra and Nagar Haveli
- Daman and Diu
- Delhi
- Goa
- Gujarat
- Haryana
- Himachal Pradesh
- Jammu & Kashmir
- Jharkhand
- Karnataka
- Kerala
- Ladakh
- Lakshadweep
- Madhya Pradesh
- Maharashtra
- Manipur
- Meghalaya
- Mizoram
- Nagaland
- Odisha
- Puducherry
- Punjab
- Rajasthan
- Sikkim
- Tamil Nadu
- Telangana
- Tripura
- Uttar Pradesh
- Uttrakhand
- West Bengal
- Medical Education
- Industry
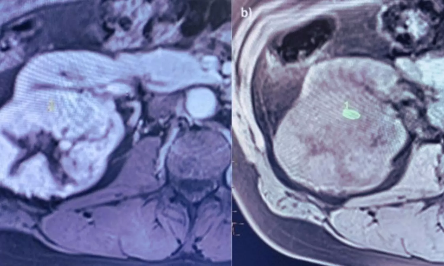
Can MRI Foresee Kidney Damage After Nephrectomy? New Study Says Yes

USA: Researchers have found that preoperative multiparametric MRI (mpMRI) could help predict the risk of chronic kidney disease (CKD) in patients undergoing kidney surgery for solid renal masses (SRMs). The study, published in the Journal of Magnetic Resonance Imaging, suggests that advanced imaging may offer clinicians a valuable tool to identify patients at higher risk of post-surgical kidney function decline.
Patients with SRMs are known to face an elevated risk of CKD following partial or radical nephrectomy, yet until now, there has been no reliable method to estimate this risk before surgery. To address this gap, Mira M. Liu, PhD, and her team from the BioMedical Engineering and Imaging Institute at the Icahn School of Medicine, Mount Sinai, conducted a prospective study assessing whether mpMRI could predict CKD development and progression to stage III, defined as moderate kidney damage.
- Among 29 patients who completed 12-month follow-up, 19 had normal kidney function at baseline.
- Of these 19 patients, 7 (37%) developed stage III CKD.
- eGFR measured by DCE-MRI and tubule diffusion correlated with baseline kidney function (correlation coefficients 0.43 and 0.33, respectively).
- Reduced vascular diffusion on mpMRI predicted postoperative eGFR decline (AUC = 0.75).
- Larger contralateral corticomedullary ADC difference was a strong predictor of CKD development (AUC = 0.89).
- A higher clinical CKD risk score also strongly predicted CKD development (AUC = 0.81).
- These findings may indicate reduced renal functional reserve and highlight the potential of mpMRI for preoperative risk assessment and surgical planning.
MSc. Biotechnology
Medha Baranwal holds a Bachelor’s degree in Biomedical Sciences from the University of Delhi and a Master’s degree in Biotechnology from Amity University. Since May 2018, she has been contributing to Medical Dialogues, writing and editing medical news articles that translate complex research into clear, accessible information for healthcare professionals.
Dr Kamal Kant Kohli-MBBS, DTCD- a chest specialist with more than 30 years of practice and a flair for writing clinical articles, Dr Kamal Kant Kohli joined Medical Dialogues as a Chief Editor of Medical News. Besides writing articles, as an editor, he proofreads and verifies all the medical content published on Medical Dialogues including those coming from journals, studies,medical conferences,guidelines etc. Email: drkohli@medicaldialogues.in. Contact no. 011-43720751

